
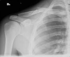
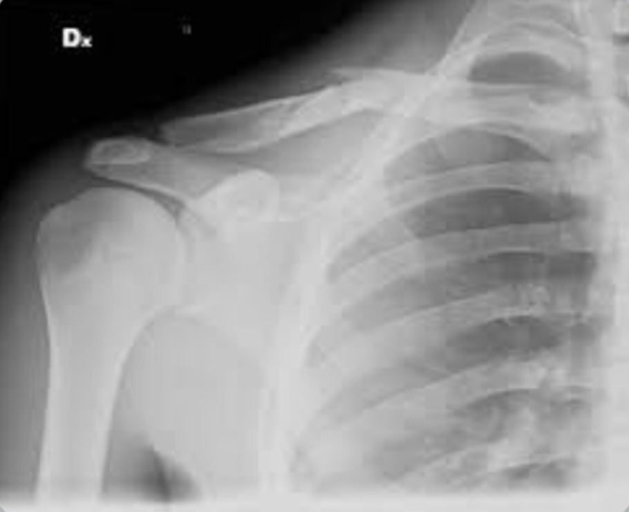
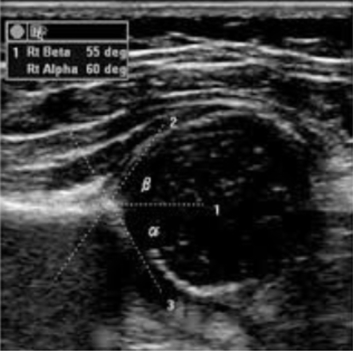
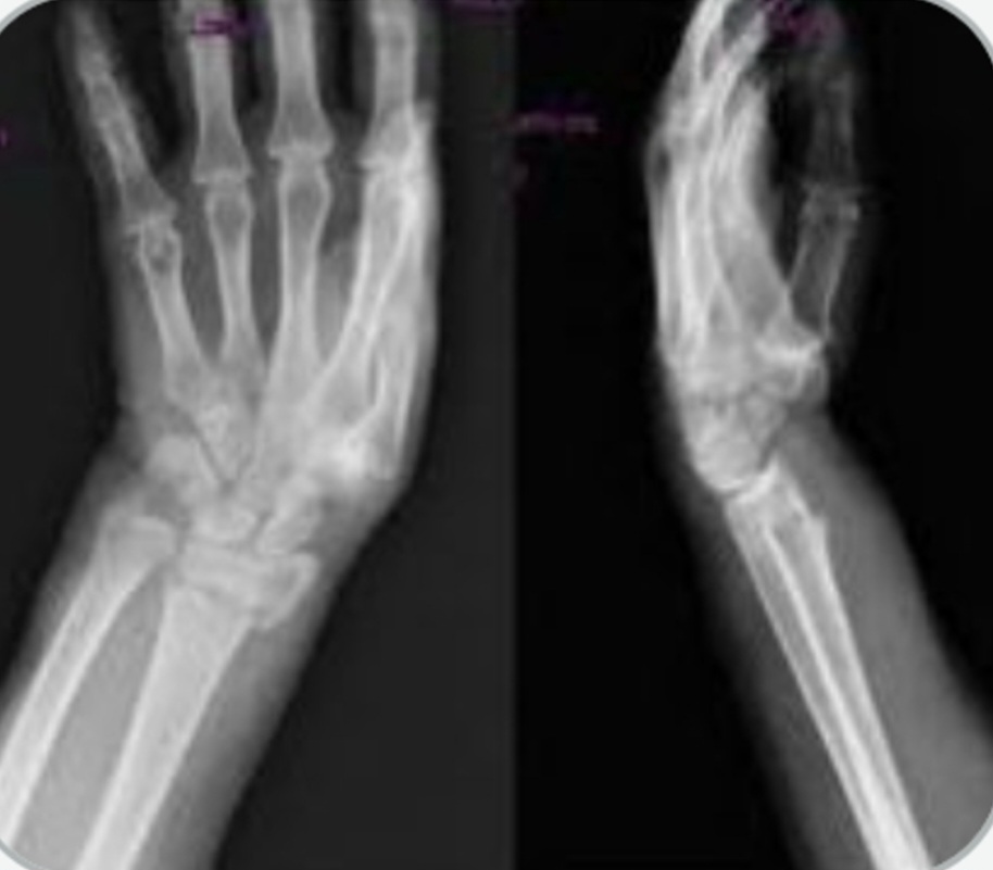
Servizi
Le mie Prestazioni in Ortopedia e Traumatologia
Prenota la tua visita ortopedica oggi stesso
Il Nostro Valore
Cura personalizzata e approccio multidisciplinare per ogni paziente

Servizi
Prenota la tua visita ortopedica oggi stesso
Il Nostro Valore
Cura personalizzata e approccio multidisciplinare per ogni paziente